Please ensure Javascript is enabled for purposes of website accessibility
Home / Products / Antibody / Polyclonal Antibody

Anti-Human IL11RA Polyclonal Antibody

Catalog #:   PHG84901 Specific References (40) DATASHEET
Host species: Rabbit
Isotype: IgG
Applications: ELISA, IHC, WB
Accession: Q14626
Overview

Catalog No.

PHG84901

Species reactivity

Human

Host species

Rabbit

Isotype

IgG

Clonality

Polyclonal

Immunogen

E. coli - derived recombinant Human IL11RA (Gly34-Thr314).

Tested applications

ELISA: 1:4000-1:8000, IHC: 1:50-1:100, WB: 1:1000-1:4000

Target

IL-11RA, sIL-11R, Interleukin-11 receptor subunit alpha, sIL-11RA, IL11RA, IL-11R-alpha, IL-11R subunit alpha, IL-11 receptor subunit alpha, sIL11RA

Purification

Purified by antigen affinity column.

Accession

Q14626

Applications

ELISA, IHC, WB

Form

Liquid

Storage buffer

0.01M PBS, pH 7.4, 50% Glycerol, 0.05% Proclin 300.

Stability and Storage

Use a manual defrost freezer and avoid repeated freeze thaw cycles. Store at 2 to 8°C for frequent use. Store at -20 to -80°C for twelve months from the date of receipt.

Data Image
  • Western Blot
    Recombinant Protein lysates were subjected to SDS PAGE followed by western blot with IL11RA antibody (PHG84901) at 1 μg/ml.

    Lane 1: Recombinant protein

    Second Ab: Goat Anti-Rabbit IgG H&L Polyclonal antibody, HRP (PTB96431) at 0.1 μg/mL.

    Predict MW: 33 kDa
    Observed MW: 33 kDa
  • Western Blot
    Various lysates were subjected to SDS PAGE followed by western blot with IL11RA antibody (PHG84901) at 1 μg/ml.

    Lane 1: Jurkat

    Second Ab: Goat Anti-Rabbit IgG H&L Polyclonal antibody, HRP (PTB96431) at 0.1 μg/mL.

    Predict MW: 45 kDa
    Observed MW: 45 kDa
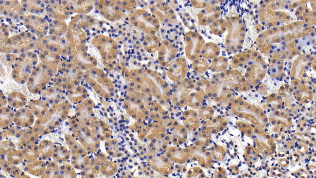
  • Immunohistochemical
    Immunohistochemical analysis of mouse kidney stained for IL11RA with PHG84901.
References

Targeting carcinoma-associated mesothelial cells with antibody-drug conjugates in ovarian carcinomatosis., PMID:37555348

IL11 (Interleukin-11) Causes Emphysematous Lung Disease in a Mouse Model of Marfan Syndrome., PMID:36924234

Targeting endogenous kidney regeneration using anti-IL11 therapy in acute and chronic models of kidney disease., PMID:36470928

IL11 Stimulates IL33 Expression and Proinflammatory Fibroblast Activation across Tissues., PMID:36012165

IL11 stimulates ERK/P90RSK to inhibit LKB1/AMPK and activate mTOR initiating a mesenchymal program in stromal, epithelial, and cancer cells., PMID:35992082

Hepatocyte Specific gp130 Signalling Underlies APAP Induced Liver Injury., PMID:35806094

IL11 Activates Pancreatic Stellate Cells and Causes Pancreatic Inflammation, Fibrosis and Atrophy in a Mouse Model of Pancreatitis., PMID:35408908

Interleukin-11 drives human and mouse alcohol-related liver disease., PMID:35365572

Inhibition of IL11 Signaling Reduces Aortic Pathology in Murine Marfan Syndrome., PMID:35135328

Therapeutic opportunities for senolysis in cardiovascular disease., PMID:35015342

A neutralizing IL-11 antibody reduces vessel hyperplasia in a mouse carotid artery wire injury model., PMID:34667238

Molecular Dissection of Pro-Fibrotic IL11 Signaling in Cardiac and Pulmonary Fibroblasts., PMID:34651016

The pro-regenerative effects of hyperIL6 in drug-induced liver injury are unexpectedly due to competitive inhibition of IL11 signaling., PMID:34435951

Redefining IL11 as a regeneration-limiting hepatotoxin and therapeutic target in acetaminophen-induced liver injury., PMID:34108253

IL11 is elevated in systemic sclerosis and IL11-dependent ERK signalling underlies TGFβ-mediated activation of dermal fibroblasts., PMID:33590875

Antibody-mediated neutralization of IL11 signalling reduces ERK activation and cardiac fibrosis in a mouse model of severe pressure overload., PMID:33462828

IL-11 in cardiac and renal fibrosis: Late to the party but a central player., PMID:32022251

Chimeric antigen receptor T (CAR-T) cell immunotherapy for sarcomas: From mechanisms to potential clinical applications., PMID:31794912

Inhibiting Interleukin 11 Signaling Reduces Hepatocyte Death and Liver Fibrosis, Inflammation, and Steatosis in Mouse Models of Nonalcoholic Steatohepatitis., PMID:31078624

Immune profiling of pre- and post-treatment breast cancer tissues from the SWOG S0800 neoadjuvant trial., PMID:30967156

Mesenchymal stromal cells for bone sarcoma treatment: Roadmap to clinical practice., PMID:30956944

Generation of and characterization of anti-IL-11 antibodies using newly established Il11-deficient mice., PMID:30268501

Therapeutically blocking Interleukin-11 Receptor-α enhances doxorubicin cytotoxicity in high grade type I endometrioid tumours., PMID:28186993

IL-11 regulates autoimmune demyelination., PMID:19734214

Enhancing engraftment of neonatal porcine xenoislet with CTLA4Ig and nordihydroguaiaretic acid., PMID:17175250

Expression of interleukin 11 and its receptor and their prognostic value in human breast cancer., PMID:16614887

Functional expression of the interleukin-11 receptor alpha-chain and evidence of antiapoptotic effects in human colonic epithelial cells., PMID:14701802

Nrl and Sp nuclear proteins mediate transcription of rod-specific cGMP-phosphodiesterase beta-subunit gene: involvement of multiple response elements., PMID:11438531

Interleukin-11 receptor expression in primary ovarian carcinomas., PMID:11161848

Interleukin-11 signals through the formation of a hexameric receptor complex., PMID:10948192

Monoclonal antibodies against the human interleukin-11 receptor alpha-chain (IL-11Ralpha) and their use in studies of human mononuclear cells., PMID:10915848

Interleukin-11 enhancement of VLA-5 mediated adhesion of CD34+ cells from cord blood to fibronectin is associated with the PI-3 kinase pathway., PMID:10836206

Mutual education between hematopoietic cells and bone marrow stromal cells through direct cell-to-cell contact: factors that determine the growth of bone marrow stroma-dependent leukemic (HB-1) cells., PMID:9680351

Recombinant human interleukin-11 directly promotes megakaryocytopoiesis in vitro., PMID:9354656

Interleukin-6 family of cytokines induced activation of different functional sites expressed by gp130 transducing protein., PMID:8662918

The role of gp130-mediated signals in osteoclast development: regulation of interleukin 11 production by osteoblasts and distribution of its receptor in bone marrow cultures., PMID:8676079

Gp130 in human myeloma/plasmacytoma., PMID:7895494

Interleukin-11., PMID:7532057

Involvement of gp130/interleukin-6 receptor transducing component in interleukin-11 receptor., PMID:8020567

Interleukin-11 and its receptor., PMID:1292471

Datasheet
$ 170
Product specifications
50 μg 170 100 μg 280

Contact Information

Order: order@antibodysystem.com

Mail: support@antibodysystem.com

Distributor list

For research use only. Not for human or drug use.

Need help with your order?

Find out more about placing an order here

Anti-Human IL11RA Polyclonal Antibody [PHG84901]
Terms of sale Website terms of use Cookie policy Privacy
Copyright © 2025 AntibodySystem SAS. All Rights Reserved.            All Products are for Research Use Only