Please ensure Javascript is enabled for purposes of website accessibility
Home / Products / Antibody / Recombinant Antibody

Anti-PRMT1 Antibody (R2N74)

Catalog #:   RHN32002 Specific References (50) DATASHEET
Host species: Rabbit
Isotype: IgG
Applications: IF, IHC, ChIP, WB
Accession: Q99873
Overview

Catalog No.

RHN32002

Species reactivity

Human, Mouse, Rat

Host species

Rabbit

Isotype

IgG

Clonality

Monoclonal

Tested applications

IF: 1:50-1:200, IHC: 1:100-1:200, ChIP: 1:20-1:50, WB: 1:1000-1:2000

Target

IR1B4, Protein arginine N-methyltransferase 1, HRMT1L2, HMT2, Interferon receptor 1-bound protein 4, PRMT1, Histone-arginine N-methyltransferase PRMT1

Concentration

1 mg/ml

Endotoxin level

Please contact with the lab for this information.

Purity

>95% by SDS-PAGE.

Purification

Protein A/G purified from cell culture supernatant.

Accession

Q99873

Applications

IF, IHC, ChIP, WB

Form

Liquid

Storage buffer

0.01M PBS, pH 7.4, 0.05% BSA, 50% Glycerol, 0.05% Sodium azide.

Stability and Storage

Use a manual defrost freezer and avoid repeated freeze thaw cycles. Store at 4 ℃ for frequent use. Store at -20 ℃ for twelve months from the date of receipt.

Clone ID

R2N74

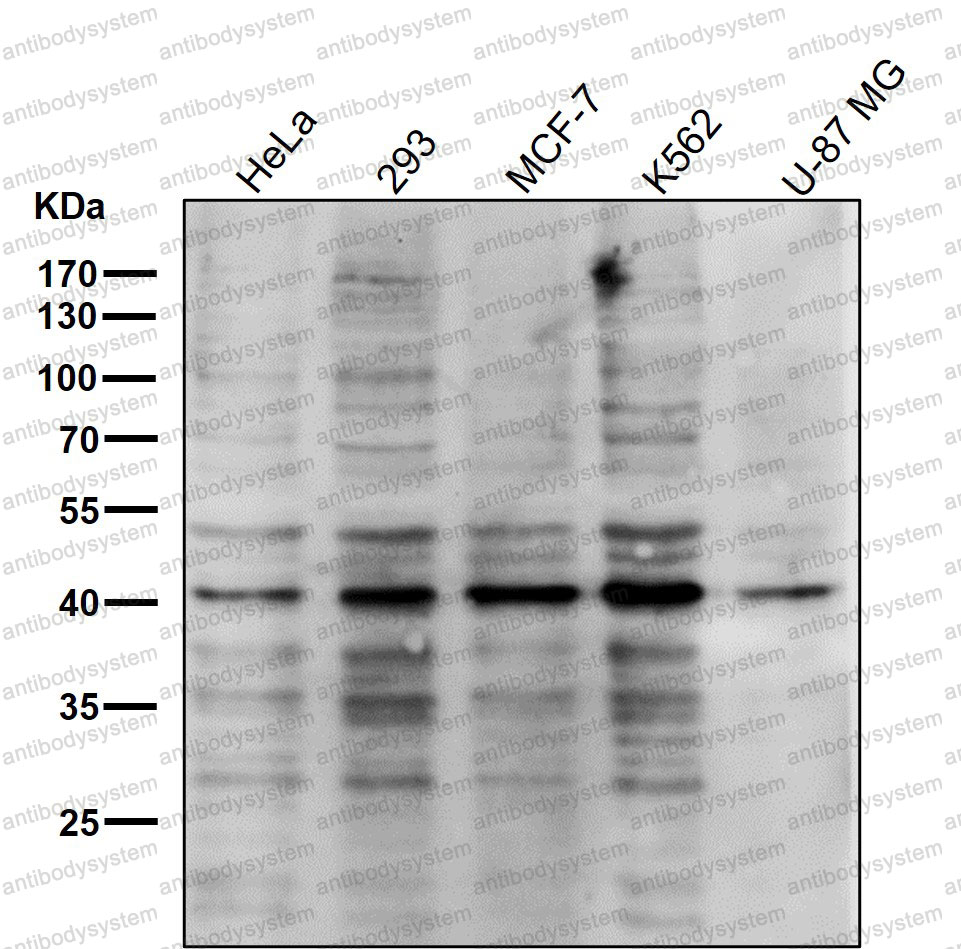
Data Image
  • Western blot
    All lanes use the Antibody at 1:1K dilution for 1 hour at room temperature.
  • Western blot
    All lanes use the Antibody at 1:1K dilution for 1 hour at room temperature.
  • Western blot
    Western blot analysis of PRMT1 expression in (1) HeLa cell lysate; (2) NIH/3T3 cell lysate; (3) PC-12 cell lysate.
References

Therapeutic Potential of PRMT1 as a Critical Survival Dependency Target in Multiple Myeloma., PMID:39975313

Baicalein attenuates ovalbumin-induced allergic rhinitis through the activation of nuclear receptor subfamily 4 group a member 1., PMID:39808359

PRMT blockade induces defective DNA replication stress response and synergizes with PARP inhibition., PMID:38118413

Targeting PRMT1 prevents acute and chronic graft-versus-host disease., PMID:37735873

PIWI interacting RNA-13643 contributes to papillary thyroid cancer development through acting as a novel oncogene by facilitating PRMT1 mediated GLI1 methylation., PMID:37657666

FACS-based genome-wide CRISPR screens define key regulators of DNA damage signaling pathways., PMID:37541219

Proteome-wide Profiling of Asymmetric Dimethylated Arginine in Human Breast Tumors., PMID:37463068

Protein arginine methyltransferase 1 regulates B cell fate after positive selection in the germinal center in mice., PMID:37310381

PRMT1 mediated methylation of cGAS suppresses anti-tumor immunity., PMID:37193698

PRMT1 reverts the immune escape of necroptotic colon cancer through RIP3 methylation., PMID:37005412

Pan-methylarginine antibody generation using PEG linked GAR motifs as antigens., PMID:34107353

A Gender-Dependent Molecular Switch of Inflammation via MyD88/Estrogen Receptor-Alpha Interaction., PMID:34045885

PRMT1 promotes the tumor suppressor function of p14ARF and is indicative for pancreatic cancer prognosis., PMID:33999432

Protein arginine methyltransferase 1 contributes to the development of allergic rhinitis by promoting the production of epithelial-derived cytokines., PMID:33476674

The atypical protein arginine methyltrasferase of Entamoeba histolytica (EhPRMTA) is involved in cell proliferation, heat shock response and in vitro virulence., PMID:33465379

The polymorphism rs975484 in the protein arginine methyltransferase 1 gene modulates expression of immune checkpoint genes in hepatocellular carcinoma., PMID:32245889

The Protein Arginine Methyltransferases 1 and 5 affect Myc properties in glioblastoma stem cells., PMID:31685892

GFI1's role in DNA repair suggests implications for tumour cell response to treatment., PMID:31225488

Altered methylation and expression patterns of genes regulating placental nitric oxide pathway in patients with severe preeclampsia., PMID:30594923

Arginine methylation of FOXP3 is crucial for the suppressive function of regulatory T cells., PMID:30318155

Target identification reveals protein arginine methyltransferase 1 is a potential target of phenyl vinyl sulfone and its derivatives., PMID:29540535

Arginine methylation of the C-terminus RGG motif promotes TOP3B topoisomerase activity and stress granule localization., PMID:29471495

Identifying the substrate proteins of U-box E3s E4B and CHIP by orthogonal ubiquitin transfer., PMID:29326975

The role of PRMT1 in EGFR methylation and signaling in MDA-MB-468 triple-negative breast cancer cells., PMID:28643125

The BTG2-PRMT1 module limits pre-B cell expansion by regulating the CDK4-Cyclin-D3 complex., PMID:28628091

Protein arginine methyltransferase 1 modulates innate immune responses through regulation of peroxisome proliferator-activated receptor γ-dependent macrophage differentiation., PMID:28330868

Lymphotoxin-β Interacts with Methylated EGFR to Mediate Acquired Resistance to Cetuximab in Head and Neck Cancer., PMID:28196873

Comparative Monomethylarginine Proteomics Suggests that Protein Arginine Methyltransferase 1 (PRMT1) is a Significant Contributor to Arginine Monomethylation in Toxoplasma gondii., PMID:28143887

Using oriented peptide array libraries to evaluate methylarginine-specific antibodies and arginine methyltransferase substrate motifs., PMID:27338245

Differential regulation of T-cell dependent and T-cell independent antibody responses through arginine methyltransferase PRMT1 in vivo., PMID:27013173

Monomethylated and unmethylated FUS exhibit increased binding to Transportin and distinguish FTLD-FUS from ALS-FUS., PMID:26895297

PRMT1-mediated methylation of the EGF receptor regulates signaling and cetuximab response., PMID:26571401

Old dog, new tricks: extracellular domain arginine methylation regulates EGFR function., PMID:26571394

PRMT1 Upregulated by Epithelial Proinflammatory Cytokines Participates in COX2 Expression in Fibroblasts and Chronic Antigen-Induced Pulmonary Inflammation., PMID:26026059

Entamoeba histolytica: protein arginine transferase 1a methylates arginine residues and potentially modify the H4 histone., PMID:25889855

PRMT1 promotes glucose toxicity-induced β cell dysfunction by regulating the nucleo-cytoplasmic trafficking of PDX-1 in a FOXO1-dependent manner in INS-1 cells., PMID:25874535

PRMT1 Is a Novel Regulator of Epithelial-Mesenchymal-Transition in Non-small Cell Lung Cancer., PMID:25847239

PRMT9 is a type II methyltransferase that methylates the splicing factor SAP145., PMID:25737013

In vitro methylation assay to study protein arginine methylation., PMID:25350748

Development of a mouse monoclonal antibody for the detection of asymmetric dimethylarginine of Translocated in LipoSarcoma/FUsed in Sarcoma and its application in analyzing methylated TLS., PMID:25810899

Expression and immune characterization of a novel enzyme, protein arginine methyltransferase 1, from Schistosoma japonicum., PMID:24343727

Methylation of structural components of the axoneme occurs during flagellar disassembly., PMID:24152136

Loss of the major Type I arginine methyltransferase PRMT1 causes substrate scavenging by other PRMTs., PMID:23419748

Arginine methylation-dependent regulation of ASK1 signaling by PRMT1., PMID:22095282

Screening assays for epigenetic targets using native histones as substrates., PMID:21965113

Immunohistochemical detection of arginine methylated proteins (MeRP) in archival tissues., PMID:21083602

Regulation of post-translational protein arginine methylation during HeLa cell cycle., PMID:20541591

Arginine methylation of the B cell antigen receptor promotes differentiation., PMID:20231378

MeCP2 deficiency downregulates specific nuclear proteins that could be partially recovered by valproic acid in vitro., PMID:20093853

Arginine methylation analysis of the splicing-associated SR protein SFRS9/SRP30C., PMID:19557313

Datasheet

Document Download

Anti-PRMT1 Antibody (R2N74).pdf

 

$ 290
Product specifications
50 μg 290 100 μg 484

Contact Information

Order: order@antibodysystem.com

Mail: support@antibodysystem.com

Distributor list

For research use only. Not for human or drug use.

Need help with your order?

Find out more about placing an order here

Anti-PRMT1 Antibody (R2N74) [RHN32002]
Terms of sale Website terms of use Cookie policy Privacy
Copyright © 2025 AntibodySystem SAS. All Rights Reserved.            All Products are for Research Use Only